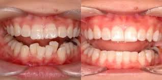
Çapraşıklık

Diş sıkışıklığı, dişlerin ağızda yer darlığı nedeniyle düzensiz bir şekilde sıralandığı bir durumdur. Bu diş anormalliği hem ağzın estetiğini hem de işlevselliğini etkileyebilir ve ek sorunları önlemek için uygun şekilde ele alınması önemlidir.

Diş çapraşıklığına neden olan faktörler

Diş sıkışıklığı birkaç faktörden kaynaklanabilir ve bunları anlamak uygun tedaviyi belirlemek için önemlidir.

Bu nedenle, bu anomalinin en yaygın nedenlerinden bazıları şunlardır:

Çene ve diş kemerinin boyutu

Bazen çene, tüm kalıcı dişleri barındıramayacak kadar küçük olabilir. Bu, sınırlı alanı işgal etmeye çalıştıkları için dişlerin sıkışıklığına yol açabilir.

Fazladan dişler

Aynı şekilde, ağızda fazladan dişlerin varlığı mevcut dişlere baskı yapabilir ve sıkışıklığa neden olabilir.

Ağız alışkanlıkları

Öte yandan, başparmak emme, emzik kullanımı veya çocukluktan sonra başparmak emme gibi alışkanlıklar dişlerin pozisyonunu etkileyebilir.

Erken diş kaybı

Bebek veya kalıcı dişlerin erken kaybı, kalan dişlerin kaymasına ve üst üste gelmesine neden olabilir.

Genetik

Genetik yatkınlık da diş sıkışıklığında rol oynar. Bu rahatsızlığın aile geçmişinizde varsa, bunu yaşama riskiniz daha yüksek olabilir.

Hangi diş sıkışıklığı türleri vardır?

Birkaç diş sıkışıklığı türü vardır ve sınıflandırma, dişlerin nasıl yanlış hizalandığına ve üst üste geldiğine bağlıdır.

Ön

Ön dişler üst üste gelir veya öne doğru eğilir.

Rotasyonel

Dişler eksenlerinde döner veya döner, bu da görünümü ve ağız hijyenini etkiler.

Arka

Arka dişler yanlış hizalanmıştır veya sıkışıktır, bu da çiğnemeyi zorlaştırır.

Çapraz Kapanış

Üst çene dişi, alt çene dişinin arkasındadır.

Yatay

Dişler yatay olarak sıkıştırılmıştır, bu da üst üste gelme ve rahatsızlığa neden olur.

Dikey

Dişler dikey olarak üst üste gelir, estetiği ve kapanışı etkiler.

Birleşik

Aynı hastada birden fazla sıkışıklık türü görülür ve kişiselleştirilmiş tedavi gerektirir.

Tedavi seçimi, her bireyin diş çapraşıklığının türüne ve şiddetine bağlı olacaktır.

Çarpık dişlerle mücadele için tedaviler

İyi haber şu ki, diş sıkışıklığını düzeltmek ve ağız sağlığınızı ve gülümsemenizin estetiğini iyileştirmek için çeşitli tedavi seçenekleri mevcuttur.

Ortodonti

Metal diş telleri veya Invisalign gibi ortodontik tedaviler, dişleri kademeli olarak hizalamak ve sıkışıklığı düzeltmek için oldukça etkilidir.

Diş çekimi

Şiddetli sıkışıklık durumlarında, yer açmak ve geri kalan dişleri düzgün bir şekilde hizalamak için bir veya daha fazla dişin çekilmesi gerekebilir.

Damak genişletme

Çenenin çok dar olduğu durumlarda, diş kemerini genişletmek ve dişler için yer açmak için damak genişletme apareyi kullanılabilir.

Kemik greftleri

Aşırı sıkışıklık durumlarında, çenenin boyutunu artırmak ve dişlerin pozisyonunu düzeltmek için kemik grefti gerekebilir.

Ancak, Doktorunuz Doç.Dr. Ebubekir TOY gibi diş sağlığı uzmanlarının uygun tedavileri ve rehberliği yardımıyla, bu durumu düzeltmek ve sağlıklı ve estetik bir gülümsemeye kavuşmak mümkündür.

Yani, Malatya’daysanız ve diş sıkışıklığı tedavisi hakkında tavsiyeye ihtiyacınız varsa, randevu almaktan çekinmeyin.