Dar Çene Nedir?

Üst çenenin alt çeneden belirgin şekilde daha dar olduğu bir durumdur.

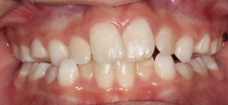
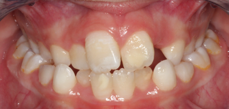
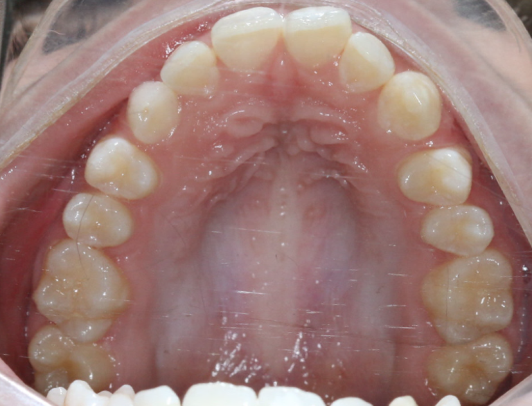
Dar çenenin belirtileri arasında üst ön dişlerde sıkışıklık veya yan ve arka dişlerin alt dişlerin içine doğru ısırması yer alır.

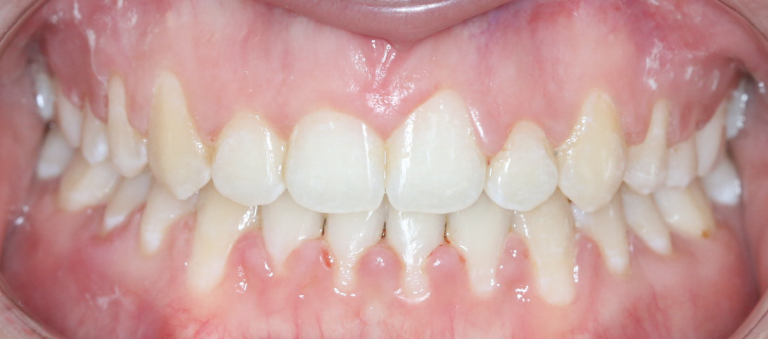
Dar çenede gülümseme geniş olmaktan ziyade dar görünür. Dişlerin olması gereken yerde değil, gülümsemenin yan tarafında boşluklar da görülebilir.

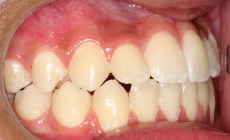
Başka bir belirti ise üst yetişkin köpek dişlerinin yüksekte olması ve çok yavaş çıkmasıdır.

Sol tarafındaki üst köpek dişi yüksektir ve son 6 ayda çok az değişiklik olmuştur

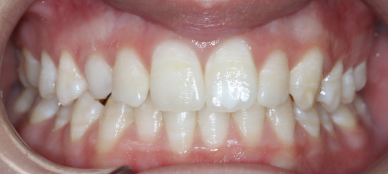
Sizin veya çocuğunuzun dar bir çenesi varsa, bu durum alt ve arka dişlerin içe doğru eğilmesinde de görülebilir.

Alt ve arka dişlerdeki eğilmeye dikkat edin

Yüksek üst köpek dişine ve alt ve arka dişlerdeki eğilmeye dikkat edin

Dar Çene Neden Düzeltilmelidir?

Üst çeneler buruna bağlıdır ve dar üst çeneli çocuklarda burun geçişi daha küçüktür. Bu, çocuğun ağızdan nefes almasına, geceleri horlamasına veya ağız solunumu nedeniyle kuru bir ağızla uyanmasına neden olabilir.

Ağızdan ağır solunum, bir çocuğun çenesinin büyüme şeklini değiştirebilir, ayrıca daha küçük bir alt çeneye ve doğal olarak kötüleşen bir kapanışa neden olabilir. Ayrıca üst dişlerin sıkışık görünmesinin ana nedenlerinden biridir.

Dar bir üst çenenin düzeltilmesi için ideal zaman ne zamandır?

  • Üst çene kemiklerinin ve bağlantılarının bir çocukta ve erken ergenlikte sertleşmediği, üst çenenin ameliyat olmadan etkili bir şekilde genişletilebileceği bir zaman dilimi vardır.
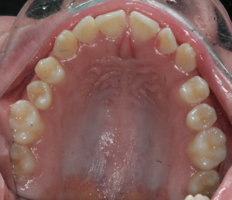
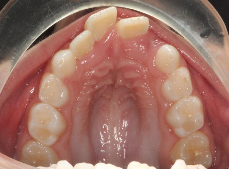
  • Aşağıdaki 2 sıra görüntü, üst çenenin geleneksel bir üst genişletici ile başarılı bir şekilde genişletildiği ve 6 yıllık bir süre boyunca takip edildiği 8 yaşında bir kız çocuğuna aittir.


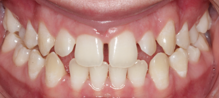
Tedavi Öncesi

Genişleticiden Sonra

6 yıl sonra – üst çene genişletmesinin stabilitesine dikkat edin

9-11 yaşları arasında çocuğunuzun yan süt dişleri gevşer ve artık bir üst genişleticiyi etkili bir şekilde destekleyemez. Geleneksel bir genişleticinin en basit formu seçilirse, anahtar yetişkin 1. premolar dişleri çıkana kadar beklemesi gerekir. Bu, genellikle ilk adetlerinin başlangıcıyla karakterize edilen ergenlik döneminin ortasındaki büyüme atağı geçiren kızlarda çok geç olabilir, bazen 10-11 yaş kadar erken.

Bu durumlarda üst genişletici hala işe yarayabilirken, orta ila şiddetli üst sıkışıklıkla birlikteyse, daha az ideal sonuçlara ve daha öne yerleştirilmiş üst ön dişlere neden olabilir. Bunun nedeni, üst çenenin daha az genişlemesi olacağından, dişleri düzeltmek için daha az alan bulunmasıdır. Bir yan etki olarak, üst ön dişler öne doğru eğilir.

Tedavi seçenekleri nelerdir?

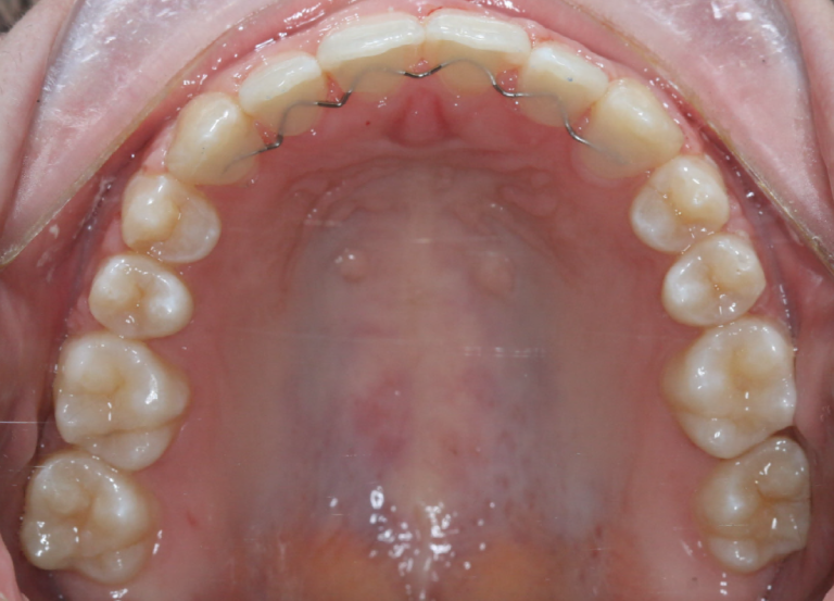
  • Çocuklarda: Sabit veya çıkarılabilir üst genişletici, bazen alt genişletici yerleştirilir.
  • Erken ila orta ergenlik döneminde: Üst genişletici, dar bir üst çenenin daha erken tedavi edilmesi faydalı olsa da. Ortodontistiniz ayrıca geçici ortodontik minipinlerle desteklenen bir hibrit hyrax genişletici seçeneğini de tartışabilir.
  • Geç ergenlik döneminden yetişkinlere: Genişletici uygun olmayabilir. Dar bir üst çeneyi düzeltmek genellikle ağız çatısındaki minipinlerle desteklenen bir hibrit genişletici veya cerrahi çene genişletmeyi içerir. Alternatif olarak, çene boyutunu kabul edip sadece dişleri düzeltebiliriz. Bu yine de kişinin gülümsemesinde önemli bir iyileşme sağlayabilir.


TEDAVİ ÖNCESİ
Hibrit Genişleticiden Sonra